Investigating Emergency Cerclage Increases for Low-Risk Pregnancies
Lately, the medical community has been abuzz with an intriguing observation: a noticeable uptick in emergency cerclage procedures, particularly among women who were once considered low-risk.
Emergency cerclage, a critical intervention for pregnant women facing cervical insufficiency, helps prevent the risk of premature delivery by reinforcing the cervix. This condition, where the cervix begins to prematurely dilate and thin out, can lead to preterm labor—a serious threat to both mother and baby. By keeping the cervix securely closed until the baby reaches full term, emergency cerclage is essential for minimizing the complications associated with premature births.
So, what exactly is a cerclage, and how do doctors determine who needs one? Let’s dive in and explore more about this vital procedure and its implications.
Historical Context and Evolution
The practice of cerclage dates back to the 1950s when doctors first began using stitches to support high-risk pregnancies. Over the decades, advancements in medical technology and surgical techniques have significantly enhanced the safety and effectiveness of cerclage procedures. Innovations such as precision suturing tools and improved imaging technology enable physicians to perform these procedures with greater accuracy and reduce complications.
Types of Emergency Cerclage Procedures
There are three primary types of emergency cerclage procedures in use today:
McDonald Cerclage: The McDonald cerclage is the most common procedure. It involves placing a stitch around the cervix, essentially creating a supportive loop that holds the cervix closed.
Shirodkar Cerclage: The Shirodkar cerclage employs a permanent suture in the cervix. Unlike the McDonald cerclage, this method uses more complex suturing techniques to ensure the cervix remains closed.
Abdominal Cerclage: An abdominal cerclage requires more invasive abdominal surgery. This procedure is often reserved for women who have experienced failed cerclages previously or have anatomical challenges that make other types of cerclage less effective.
Increasing Awareness and Screening
In recent years, awareness of cervical insufficiency has significantly increased. New strategies are being developed to enhance the accuracy of cervical length assessments by focusing screenings on low-risk women who have identifiable risk factors for a short cervix. These risk factors include minority race, tobacco use, prior preterm birth, and prior cervical procedures.
Additionally, BMI could be considered a potential risk factor for a short cervix in future screening algorithms. Both obesity and cervical insufficiency are major contributors to pregnancy-related morbidity. In the USA, over 20% of women of reproductive age are obese (BMI > 30), a figure that is steadily rising.
When is Cerclage Recommended?
Cerclage is recommended for women with a history of cervical insufficiency, multiple preterm births, or specific changes in the cervix observed via ultrasound. In more detail, it's typically advised for women who've experienced 3+ preterm deliveries or mid-trimester losses, making a history-indicated cerclage vitally important in such cases.
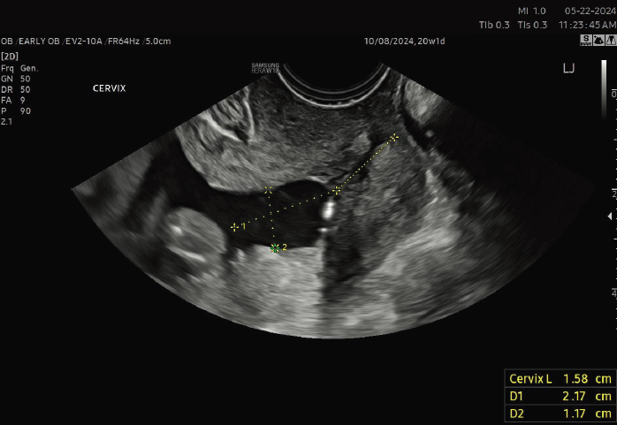
An ultrasound-indicated cerclage is a wise choice when a woman’s cervical length measures less than 24 mm, particularly if she has a history of spontaneous preterm births or mid-trimester losses. Significantly, for those expecting twins, the threshold for intervention is even shorter, with cervical lengths under 15 mm suggesting the need for this supportive measure.
Generally, cerclage placement is considered before the 24-week mark, offering a promising avenue for maintaining a healthy pregnancy and bringing new hope and optimism to expecting mothers.
The Procedure and Its Risks
Typically performed under anesthesia in an outpatient setting, cerclage is generally considered safe. However, the procedure does carry some risks, including infection, bleeding, preterm labor, and membrane rupture. Post-cerclage, some cramping or spotting is normal, but many women find they can swiftly return to their usual routines, embracing a healthier pregnancy journey ahead.
Alternatives to Cerclage
For patients who opt out of a cerclage or have a cervical measurement that is borderline short at over 25mm, there are several promising alternatives to consider. These options include bed rest, which can reduce physical stress on the cervix, and progesterone therapy, often used to help maintain pregnancy by supporting the cervical structure. Cervical pessaries, small silicone devices placed around the cervix, can also provide extra support and may prevent premature shortening.
Regular cervical length monitoring is another vital aspect of managing this condition, ensuring any changes are promptly detected. It's crucial to have an in-depth discussion with healthcare providers about these treatments, enabling patients to make the most informed and personalized decisions for their health and their baby's well-being.
Post-Procedure Care and Removal
Once placed, the cerclage typically remains in situ until around the 36th to 37th week of gestation. At this point, the obstetrician usually removes it. The removal process is generally quick and straightforward, often not requiring anesthesia. This helps ensure a smooth and stress-free experience for our patients as they approach the final weeks of their pregnancy.
Why It Matters to Sonographers
The increase in emergency cerclage procedures among low-risk patients highlights the essential role of skilled ultrasound technicians in modern obstetric care. Our expertise in imaging and assessment enables early detection, timely interventions, and provides critical support to expectant mothers facing anxiety. This precision fosters trust, improves collaborative decision-making, and enhances maternal and fetal outcomes. As challenges evolve, we must stay committed to excellence, compassion, and innovation to ensure optimal care for all expectant mothers.
References:
https://obgyn.onlinelibrary.wiley.com/doi/full/10.1111/aogs.13881
https://karger.com/goi/article/87/5/299/823900/Weekly-Differences-in-the-Prevalence-of-a-Short
https://www.medicalnewstoday.com/articles/short-cervix#outlook
https://emedicine.medscape.com/article/1848163-overview?form=fpf#a1
About Lashell: Lashell Jones, RDMS, RDCS (FE) is a highly skilled ultrasound specialist with more than 20 years of experience. She currently holds the Lead Sonographer position at Maternal Fetal Associates in Reston, Virginia. Lashell is also an active participant in the Inteleos Diversity and Inclusion task force, an author of PREPRY study resources, and a registry review tutor. She is on a mission to improve medical awareness and education within the ultrasound industry.